El uso de teléfonos móviles está relacionado con la aparición de tumores cerebrales.
Día: 16 noviembre, 2014
El uso de teléfonos móviles está relacionado con la aparición de tumores cerebrales
Si usamos un teléfono móvil por nuestro trabajo o por adicción al uso del móvil durante muchas horas al día y durante largos períodos de tiempo podemos correr más riesgo de padecer un tumor cerebral sobre todo un glioma, que es el tumor cerebral que se diagnostica con más frecuencia.
Un reciente estudio llega a la conclusión de que las personas que usan el teléfono durante largos períodos de tiempo o aquellas que empiezan a usarlo cuándo su cerebro todavía es joven, antes de los 20 años de edad tienen mayor riesgo de sufrir tumores cerebrales.
El autor del estudio es el Profesor y doctor Lennart Hardell del hospital universitario de Örebro en Suecia; él cree que debemos usar el manos libres o mensajes de texto si no nos queda más remedio que usar el móvil por nuestra actividad profesional durante períodos prolongados de tiempo.
El estudio fue publicado en la revista Pathophysiology on line el 28 de octubre.
Vivimos en un mundo cada vez más globalizado, en el que las comunicaciones inhalámbricas en nuestro hogar, en nuestra empresa o en la cafetería o el centro comercial en el que pasamos nuestro tiempo libre hace que estemos expuestos a campos de radiofrecuencia elctromagnética. Y es el cerebro el objetivo fundamental de esas ondas, sobre todo el hemicerebro más expuesto a las radiaciones emitidas por los teléfonos móviles.
En el nuevo estudio se han reunido datos de dos estudios casos-control que estudiaban la histopatología de confirmación de tumores malignos cerebrales. El primero incluye pacientes de edades comprendidas entre los 20 y los 80 años diagnosticados desde el año 1997 al 2003, y el segundo a pacientes de edades entre los 18 y los 75 años, diagnosticados entre 2007 y 2009. Los pacientes pertenecían a 6 hospitales oncológicos de Suecia.
Los casos de tumores cerebrales malignos fueron comparados y randomizados con controles sanos del mismo sexo y edad de una base de datos de pacientes sanos. Todos los pacientes cubrieron un cuestionario detallando el tiempo de exposición a los teléfonos móviles y a los teléfonos inhalámbricos.
El análisis incluía a 1498 casos de tumores cerebrales malignos, con una edad media de 52 años. La mayoría del los pacientes (92%) estaban diagnosticados de gliomas y la mitad de los gliomas un 50,3% eran de la variedad más maligna, el astrocitoma grado IV (Glioblastoma multifome), con una supervivencia media de 18 meses desde su diagnóstico a pesar del tratamiento quirúrgico y con radioterapia y quimioterapia. Para comparar con los casos fueron incluidos en el estudio 3530 controles con una edad media de 54 años.
Se llega a la clara conclusión de que hay un aumento en el riesgo de aparición de gliomas por el uso prolongado de teléfonos móviles e inhalámbricos ajustados por edad de diagnóstico, sexo y nivel socioeconómico. El riesgo se incrementaba considerablemente en aquellos que llevaban muchos años, más de 25, usando con frecuencia los teléfonos tanto móviles como inhalámbricos. Además los tumores son diagnosticados con más frecuencia en los lóbulos temporoparietales que son los más expuestos a las radiaciones.
Los niños y los adolescentes son los más expuestos a estas radiaciones ya que tienen unos huesos craneales más delgados y un cerebro en formación que hasta los 20 años de edad es más vulnerable.
Además los teléfonos 3G de última generación son más peligrosos todavía porqué producen más microondas con mayores efectos biológicos que las otras ondas electromagnéticas.
La Agencia Internacional de investigación del cáncer elaboró un informe en el año 2013 dónde afirmaba que existía una relación causal entre el uso de móviles e inhalámbricos y la aparición de tumores cerebrales. El estudio INTERPHONE corrobora esta relación (Int J Epidemiol 2011;39:675-694) (Cancer Epidemiol 2011;32:453-464) encuentra también una relación clara.
Aunque contamos con otro estudio prospectivo (Internal Journal Epidemiology 2013:42:792-892) que encuentra que el uso de teléfonos móviles no se relacionan con el incremento de tumores cerebrales, sobre todo gliomas y meningiomas en mujeres de edad media británicas.
El problema de estos estudios es que no especifican el lado del cerebro en el que aparecen los tumores. El 90% de la población mundial es diestra, pero hay que tener en cuenta que solemos colocar el teléfono sobre el oído izquierdo para tomar notas con la mano derecha, por lo que ambos hemisferios cerebrales van a estar expuestos.
Es evidente que a pesar del peligro que entrañan cada vez se usarán más teléfonos móviles. En un país como el nuestro hay ya casi más móviles que habitantes. Debemos tener cuidado con el uso de los teléfonos por los niños o en nuestros trabajos, usando el manos libres o el micrófono adaptado y en vez de estar horas hablando por teléfono a lo mejor no nos vendría mal recuperar viejos hábitos como el hablar con nuestros amigos o nuestra familia alrededor de una mesa comiendo o tomando un aperitivo o un café, costumbre mediterránea que no debemos perder.
Autora:Ana Belén Cordal López.
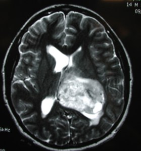
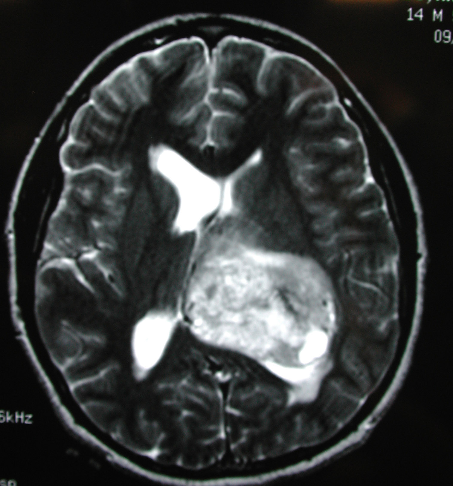
Fuente de la imagen Medscape. RMN con gadolinio de glioblastoma multiforme de alto grado de malignidad. Imagen cortesía de George Jallo. MD.
¿Necesitas un profesional especializado en Rehabilitación Neurológica?


¿Has sufrido hace poco… un Ictus, un Traumatismo Craneoencefálico, una lesión medular, una parálisis cerebral…. o sufres alguna enfermedad neurodegenerativa (EM, ELA, Parkinson, Alzheimer…)?
¿Buscas o necesitas a un profesional especializado y con una amplia experiencia en el campo de la rehabilitación neurológica?
Contacta con nosotros y te buscaremos a los mejores profesionales de la rehabilitación neurológica en Madrid.
Sólo tienes que escribirnos a: rhbneuromad@gmail.com. Te responderemos con la mayor brevedad posible.
Fuentes imágenes: http://www.saludcognitiva.org/2014/01/cognifit-herramientas-profesionales.html#.U59tt5R_tvA
http://elmercaderdelasalud.blogspot.com.es/2013/05/equipo-de-salud-es-el-pilar.html


